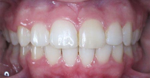
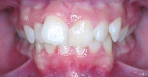
When you bring your child to Epperson Orthodontics for their first orthodontic evaluation, we may recommend that they use a forsus appliance to help correct their bite. The forsus appliance functions similar to elastic, but is placed by our orthodontist and is cannot be removed except by our doctor. It works to promote growth, eliminate overbites, and improve the fit of the teeth. Ultimately, the goal of a forsus appliance is to prevent the need for jaw surgery in the future. If you have questions about the forsus orthodontic appliance in Springfield and Eugene, Oregon, or would like to set up an appointment with Dr. Matthew Epperson, call us today at 541-852-2552.
The forsus appliance is made up of a spring that is attached to the upper molar bands. Typically, there is a spring on each side of your mouth. These springs work to move your jaw into the ideal bite position. You may feel some discomfort while your mouth adjusts, but should not you should not have problems eating or speaking after the initial period of adjustment. Over time, your jaw will move into the correct position, and you will “learn” to bite properly.
For more information about the forsus orthodontic appliance, please contact our office today. We are excited to help you achieve a healthy smile!
